BEENbio--Make Science Easer

DNA的染色

一、DAPIDNA的原理及使用方法

DAPI4',6-二脒基-2-苯基吲哚(4',6-diamidino-2-phenylindole),分子式为C16 H15 N5 ·2C3 H6 O3,分子量457.48

DAPI 是一种能够与DNA强力结合的荧光染料。它结合到双链DNA小沟的AT碱基对处,一个DAPI分子可以占据三个碱基对的位置。结合到双链DNADAPI分子的荧光强度提高大约20倍,常用与荧光显微镜观测,根据荧光的强度可以确定DNA的量。另外,因为DAPI可以透过完整的细胞膜,它可以用于活细胞和固定细胞的染色。

荧光显微镜观察下,DAPI染剂是利用紫外光波长的光线激发。单独DAPI的最大吸收波长为340nm,最大发射波长为488nm;当DAPI与双链DNA结合时,最大吸收波长为364nm,最大发射波长为454nm10 mM Tris pH7.0100 mM NaCl10 mM EDTA),其发散光的波长范围含盖了蓝色至青绿色。DAPI也可以和RNA结合,但产生的荧光强度只有与DNA结合的荧光强度的1/5,其发散光的波长范围约在500nm左右。

DAPI的配制及贮存

固体粉末:避光,2-8 保存,3年没有问题。

贮存液:用无菌水配制成浓度1 mg/ml 的贮存液,配好后用锡纸包起来,避光,可在-20 下长期保存。(DAPI易溶于水,在PBS中溶解度不高)

使用浓度:贮存液用1xPBS稀释到终浓度100 ng/ml

荧光封片液0.5 mol/L碳酸盐缓冲液与甘油等体积混合,pH9.5

染色与观察:制好的玻片上滴加几滴DAPI染液,染色10分钟,流水冲去染液,滤纸吸除多余水分,加一滴荧光封片液,置于荧光显微镜下观察,激发波长360-400nm

二、DNAFeulgen染色法

1、实验原理

DNA经弱酸(1molL HCl)水解,其上的嘌呤碱和脱氧核糖之间的键打开,使脱氧核糖的一端形成游离的醛基,这些醛基在原位与Schiff试剂(无色品红亚硫酸溶液)反应,形成紫红色的化合物,使细胞内含有DNA的部位呈紫红色阳性反应。紫红色的产生,是由于反应产物的分子内含有醌基,醌基是一个发色团,所以具有颜色。对照组预先用热三氯醋酸或DNA酶处理,抽提去细胞中的DNA而得到阴性反应,从而证明了Feulgen反应的专一性。

2.实验用品

材料:

1Carnoy液固定的鼠肝石蜡切片2).Carnoy液固定的洋葱根尖或蚕豆根尖切片。试剂:

1Carnoy固定液:395%酒精加入1份冰醋酸。

21 molL HCl:取比重118的浓HCl 825ml,加水至100ml

3Schiff试剂

先将200ml蒸馏水煮沸,由火上取下,加入碱性品红1g,充分搅拌,有助于溶解。待先将200ml蒸馏水煮沸,由火上取下,加入碱性品红1g,充分搅拌,有助于溶解。待亚硫酸钾或偏亚硫酸钠充分振荡后盖紧瓶塞,放于暗处过夜。次日取出,呈淡黄色或近于无色,加中性活性炭一匙,约05g,剧烈振荡1min过滤后即得无色品红。无色品红配成后须塞紧瓶塞。外包黑布或黑纸,贮存在冰箱或黑暗低温处。

4)亚硫酸水溶液(漂白液)

10%偏重亚硫酸钠水溶液5ml,蒸馏水100ml1 mol/L HCl 5ml,摇匀,塞紧瓶塞。此溶液在使用前配制,否则会因二氧化硫的逸出而失效。

55%三氯醋酸

605%固绿酒精溶液(95%酒精溶解)

3.实验方法:

石蜡切片溶腊二甲苯Ⅰ(35min溶腊二甲苯Ⅱ(35min→1/2纯酒精+1/2二甲苯(35min纯酒精Ⅰ(23min纯酒精Ⅱ(23min→95%酒精23min→83%酒精(2 3min→70%酒精(23min蒸馏水→5%三氯醋酸,9015min→70%酒精(23min蒸馏水(过一下)→1mol/L HCl 60815min(水浴或温箱中)→Schiff试剂(6090min亚硫酸水(Ⅰ)(各5min流水冲洗(515min蒸馏水→0.5%固绿水溶液(复染)(1min)(此步要快,以免过染)蒸馏水→70%酒精→83%酒精→95%酒精纯酒精Ⅰ纯酒精Ⅱ透明二甲苯Ⅰ透明二甲苯Ⅱ封片(贴上标签,注明材料,反应名称,作者姓名及日期)

显微镜下检查:

实验组:细胞核呈紫红色,核仁及细胞质呈绿色

对照组:由于DNA被提取破坏,所以细胞核无紫红色。

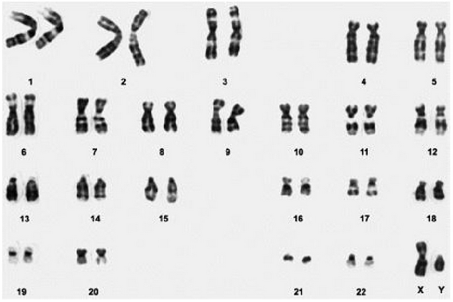
三、染色体 G 显带核型分析

1、核型分析简介

染色体是细胞分裂期高度凝集的 DNA 蛋白质纤维,是间期染色质结构紧密盘绕折叠的结果。核型是指一个体细胞内的全部染色体按其大小、形态特征排列起来构成的图像。将待检细胞进行染色体数目、形态结构分析,确定其核型是否与正常核型一致,称为核型分析。染色体核型分析,是遗传学科学研究和辅助临床诊断的重要手段之一,是分析染色体易位、缺失,诊断各种遗传病变的关键指标。

染色体核型分析实验是选择增殖旺盛期的细胞进行秋水仙素处理,使细胞分裂停止在中期,以获得足够量的分裂期细胞,经低渗、固定、制片、染色,在显微镜下观察。制备的染色体标本,未经特殊处理,直接染色后镜下观察进行核型分析的过程称为染色体非显带核型分析。染色体显带核型分析则是染色体标本经显带技术处理,使染色体沿纵轴上显示出一定数量的、着色程度不同的、宽窄不等的明暗相间的带纹。每条染色体都有独特而恒定的带纹,主要取决于 DNA、蛋白质及染料三者的相互作用。显带技术不同,染色体上显示出的带纹也不同。染色体显带技术包括 G 显带、Q 显带、R 显带和 C 显带等。G 显带技术是将染色体标本经胰蛋白酶消化后,再以吉姆萨(Giemsa)染色而显带。其所显示的染色体带纹清晰,普通显微镜下可以分辨,标本可长期保存,因此被广泛应用。

2、实验步骤(以下以贴壁培养细胞为例)

1)实验准备

1)细胞完全培养基:根据细胞类型和实际需要确定

2)细胞消化液:0.25% Trypsin-EDTA

3)磷酸缓冲液(PBS):pH7.4

4)秋水仙素(或者秋水仙胺)溶液:20 μg/mL

5)低渗液:0.075 M KCl 溶液

6)固定液(新鲜配制):甲醇:冰醋酸 = 31

7Giemsa 染色液:先配置 1% Giemsa 原液(以甘油,甲醇配制),再以 PBS 稀释 10 倍后使用。

8)胰酶溶液:0.25% Trypsin

9)乙醇:95% 乙醇(AR

10)其他耗材:载玻片、无纺布等。

2)染色体标本制备

1)载玻片清洗:将载玻片逐片放入超声波清洗器内超声 30 min,然后用自来水将载玻片进行彻底冲洗,烘干。逐片放入次强酸清洗液中浸泡约 24 h。取出后用自来水彻底冲洗,然后用纯水彻底冲净,然后放入 95% 乙醇内保存备用(需密封)。使用前可用无纺布将载玻片擦干,置于- 20预冷备用。

2)细胞培养:细胞正常培养,观察细胞生长状态,接种至 6 孔培养板,待其生长至对数生长期(融合度 70%80%)进行实验。

3)秋水仙素处理:吸去培养基,加入含有秋水仙素(终浓度 0.2 μg/mL)的新鲜培养基,继续于 37培养 2 小时。培养结束后,常规消化细胞,离心去上清液,重悬细胞并轻轻吹散均匀。

4)低渗处理:低渗液于 37预热,然后逐滴滴加 3 mL 低渗液,并将细胞均匀分布于悬液中,再逐滴滴加 5 - 7 mL 低渗液,轻轻颠倒离心管至水平 2 次,放至 37 水浴作用 15 分钟。

5)预固定:加入新鲜配制的固定液约 200 μL,预固定 2 - 3 分钟;800rpm 离心 8 分钟。

6)固定:A.去上清,敲打管底以剩余溶液使细胞充分重悬,确保细胞成单个分散状态;B.沿管壁逐滴滴加 3 mL 固定液,用枪轻轻将细胞吹散,再逐滴加入 5 -8 mL 固定液,固定 40 分钟;C800 rpm 离心 8 分钟,敲打管底使细胞充分重悬,确保细胞成单个分散状态。如上述加入固定液重复固定细胞 23 次;D.剩余 0.5 - 1 mL 固定液,用枪轻轻吹散细胞。

7)制片:吸取细胞悬液,滴至预冷的载玻片上,将载玻片掠过酒精灯几次,室温下干燥。在显微镜下观察,如果细胞能均匀的铺展,中期相不重叠,则用同样细胞浓度样品多制备几份样品。否则要进一步稀释细胞悬液,或者调整滴片高度,以达到满意的铺片效果。

8)染色:取出玻片,滴加 Giemsa 工作液,完成覆盖即可,染色 2030 分钟;自来水冲洗终止染色,放入 35 烘干。

9)封片:以封片剂封片,以备长期保存。

10)镜检观察:先用低倍镜做全面检查,再换至高倍镜,以油镜观察并拍照。每个样本至少选取 30 个染色体组进行后续计数分析。

3G 显带

1)胰酶工作液准备:以 PBS 0.25% Trypsin 稀释 10 倍(以染缸准备 50 mL 工作液),置于 37水浴锅中预温。

2)制片老化:前述制备好的未染色的玻片在烘箱中 70烘烤 2 小时进行老化处理。

3)胰酶消化:将玻片置于胰酶工作液中处理 2 - 3 分钟,轻轻摇动,然后在 PBS 中漂洗玻片。

4)染色:Giemsa 染色同前。

5)封片:同前。

6)镜检观察。

4)核型分析

1)软件分析:常见的分析软件包括 Videotest 染色体核型分析软件、MetaScanKaryotyping System PathfinderTM KARYOTM 模块、IMSTAR 全自动智能染色体核型分析系统 Pathfinder Karyo 系列等。

2)人工分析:选取染色体分散良好的图片至少 30 组,先计数统计。再根据同源染色体大小、形状、带型等相似的特点,将染色体进行配对。可先以图像处理软件将每条染色体剪切编号,摆正位置,然后根据各组染色体的带型特点进行配对,可以 imageJ 等软件计算长、短臂长度辅助进行配对。

1.png

5)注意事项

1细胞状态。应该选取生长状态良好的细胞进行实验,生长状态差的细胞,比如老化的间充质干细胞等,应在实验前通过观察即排除。

2染色体标本制备。针对不同的细胞,所使用的秋水仙素的用量和作用时间,低渗和固定的处理时间,滴片时细胞的浓度,滴片高度及玻片的预处理,均会对制片有所影响。因此需要根据实际情况做调整。

3G 显带过程中,胰酶作用时间、温度、pH 值等均会对显带带来影响,应避免过长或过短消化。

4核型的最终分析,即便是使用软件进行分析,也依然需要熟练技术人员的核对。每对染色体的不同显带特点,需要技术员长期大量的经验积累。对异常染色体组的核型分析,尤其需要注意选择多个图形进行分析后,再做出结论。


下一篇DNA标记
文章分类: DNA 实验技术
分享到:
登录
登录
其他账号登录:
我的资料
留言
回到顶部