免疫共沉淀检测(CO-IP)
BEENbio提供免疫共沉淀(CO-IP)检测服务。可对两种已知蛋白是否存在相互作用进行验证,也可以验证在总蛋白中是否含有与已知蛋白相互作用的未知蛋白。其实验方法为将靶蛋白(X)与目的蛋白(Y)在同一细胞内孵育,形成“靶蛋白-目的蛋白”复合物。将靶蛋白的特异性抗体与复合物共孵育,形成“抗体-靶蛋白-目的蛋白”复合物,利用Proterin A/G纯化。通过SDS-PAGE银染,结合Western Blot及液相质谱等对两种蛋白之间是否存在相互作用进行定性分析。

服务优势
• 使用银染技术,灵敏度是考马斯亮蓝100倍,SDS-PAGE电泳结果更加清晰;
• 拥有液相质谱及Fortebio等完整配套检测设备,可对检测结果进一步分析;
• 实验重复进行两次,排除随机因素影响,结果更加可靠;
• 拥有蛋白、抗体等制备平台,您只需提供序列便可完成全部实验;
免疫共沉淀服务内容
服务内容 | 交付内容 | 周期 | 价格 |
分子间相互作用检测(CO-IP实验) | 相互作用分析报告(包括SDS-PAGE结果、WB结果、液相质谱结果等) | ~2周 | 询价 |
样品要求
蛋白样品
1. 直接提供蛋白样品:动植物组织/器官或含有诱饵蛋白及目标蛋白的裂解液;
2. 提供表达质粒:质粒需测序验证,提供测序峰图,防止基因模板或表达质粒本身碱基突变,造成实验延误;
3. 提供基因序列:客户提供序列,由BEENbio负责诱饵蛋白或目标蛋白的表达。
检测抗体
1. 客户提供:用于免疫检测的抗体>20ul;
2. BEENbio提供:由BEENbio提供相关的抗体(详情可咨询客服)。
Co-IP案例

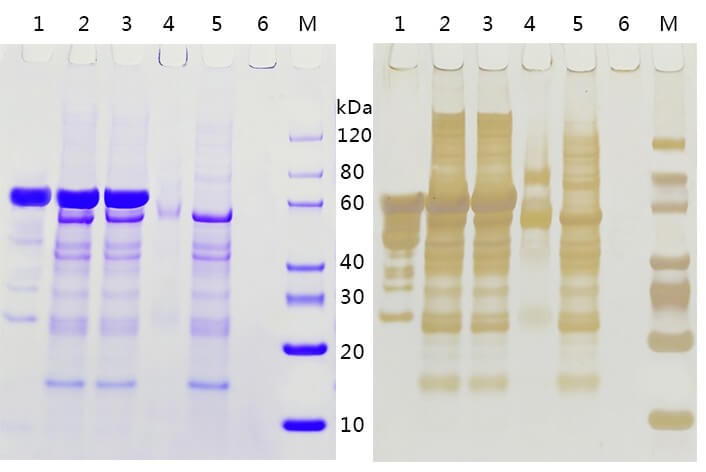
图1:CO-IP实验SDS-PAGE图与SDS-PAGE银染图
Lane 1:抗X抗体
Lane 2:总蛋白+ 抗X抗体
Lane 3:总蛋白+ 抗X抗体+ ProteinA磁珠结合后流出
Lane 4:总蛋白+ 抗X抗体 + ProteinA磁珠洗脱
Lane 5:总蛋白+ ProteinA 磁珠结合后流出
Lane 6:总蛋白+ ProteinA 磁珠洗脱 M:SDS-PAGEMarker
该案例为验证总蛋白中是否含有可以与已知蛋白X发生相互作用的未知蛋白Y。Lane 5~lane 6为对照实验,防止总蛋白与 ProteinA 磁珠的非特异性结合。已知X蛋白的大小为80KD,观察银染图的洗脱条带,在55KD左右存在疑似与蛋白X发生结合的未知蛋白Y。取洗脱液进一步进行液相色谱分析及fortebio检测,最终验证55KD左右的蛋白Y可以与已知蛋白X发生相互作用。
免疫共沉淀应用
a. 动物植物生理活动研究;
b. 分子生物学研究;
c. 物种及微生物鉴定;
免疫共沉淀原理
免疫共沉淀(Co-Immunoprecipitation)是以抗体和抗原之间的专一性作用为基础的蛋白相互作用研究的经典方法。其原理为:将靶蛋白X与目标蛋白Y在细胞内共同孵育,形成复合物X-Y。如果用靶蛋白X的抗体免疫沉淀X,那么与X在体内结合的蛋白质Y也能沉淀下来。这种方法常用于测定两种已知蛋白是否在体内结合,也可用于确定细胞内是否存在与已知蛋白相互作用的未知蛋白。(详细免疫共沉淀原理介绍)

图2:Co-IP实验原理
CO-IP优缺点
优点 | 缺点 |
• 相互作用的蛋白处于天然状态,都是经过翻译后修饰的 •可以分离得到天然状态下的相互作用蛋白复合物 •可以检测体外和细胞内的相互作用 | •检测不到弱亲和力和瞬时的蛋白相互作用 •蛋白的相互作用可能不是两者直接结合,可能存在第三方的桥梁作用 •须在实验前预测目的蛋白,以选择最后检测的抗体,否则实验得不到结果 •假阳性率较高,试验需要设置正确的对照
|