产品价格
产品编号 | 规格 | 价格 |
BEENbio-057 | >200次 | 339.00元 |
BEENbio生产的苏木素伊红(HE)染色试剂盒(Hematoxylinand Eosin Staining Kit)综合了多种经典的HE染色方法,例如Harris法、Mayer法等,简化了操作步骤,缩短了操作时间,并且染色液内不使用汞、甲醇等有毒试剂。可以用于组织切片或培养细胞的染色。
苏木素染色(hematoxylin staining or haematoxylin staining),也被称作苏木精染色,是最常用的组织和细胞的染色方法之一。无色的苏木素(hematoxylin)氧化后形成有醌环结构(quinoid ring)的氧化苏木素(hematein or haematein),从而可以和三价的铝离子、铁离子等形成有颜色的带正电荷的复合物(如hematein-Al3+ complexes)。氧化苏木素(也称氧化苏木精)和铝离子等形成有色的复合物的过程也被称为Dye Lake Formation。细胞核内基因组DNA的双螺旋结构中,双链上的磷酸基团向外,带负电荷,呈酸性,很容易与带正电荷的氧化苏木素复合物结合,从而形成细胞核染色。苏木素染色液有多种不同的配制方法,不同的方法可以把细胞核染色成不同深浅的蓝色或蓝紫色。
伊红(eosin)是一种化学合成的酸性染料,在水中解离成带负电荷的阴离子,可以和蛋白质氨基上带正电荷的阳离子结合,从而使细胞胞浆染成不同程度的红色或粉红色,与苏木素染色液染色形成的蓝色细胞核形成鲜明对比,从而使苏木素伊红(HE)染色成为病理组织切片中最广泛使用的一种常规染色方法。
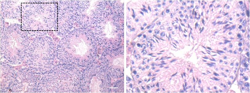
苏木素伊红染色后细胞核呈现蓝色,细胞浆呈现粉红色或红色。本产品用于石蜡切片染色的效果图参考图1。

图1. 本产品用于小鼠睾丸石蜡切片染色的效果图。右图为左图局部放大图片。图中可见染色后细胞核呈现蓝色,细胞浆呈现粉红色或红色。本图仅作参考,不同的样品不同的检测条件,实际获得的结果可能有所差别。Scale bar, 100μm。
染色液可以重复使用,直至认为效果不佳时再换用新的染色液。本试剂盒至少可以染色200个样品。
包装清单:
产品编号 | 产品名称 | 包装 |
BEENbio-057-1 | 苏木素染色液 | 100ml |
BEENbio-057-2 | 伊红染色液 | 100ml |
— | 说明书 | 1份 |
保存条件:
室温保存,至少一年有效。其中苏木素染色液需避光保存。
注意事项:
染色后的分化为选做步骤,但分化后核质着色更清晰。
染色液可以重复使用多次,认为效果不佳时再更换新的染色液。
样品数量很多时,可以使用BEENbio生产的染色架和染色缸,便于操作。
第一次使用本试剂盒时建议先取1-2个样品做预实验。
通常不推荐在本试剂盒染色后再进行免疫荧光等其它的荧光染色。对于样品特别珍贵的情况下,可以在本试剂盒染色后,尝试进行免疫荧光等其它的荧光染色,但不排除有些情况下本试剂盒的染色会干扰后续的免疫荧光或其它的荧光染色。
本产品仅限于专业人员的科学研究用,不得用于临床诊断或治疗,不得用于食品或药品,不得存放于普通住宅内。
为了您的安全和健康,请穿实验服并戴一次性手套操作。
使用说明:
1. 需要用户自己准备的试剂
a. 固定液:BEENbio的免疫染色固定液(P0098),或4%多聚甲醛固定液(P0099)。
b. 分化液(BEENbio的盐酸乙醇分化液(C0161、C0163、C0165)或5%的乙酸溶液或0.5%的盐酸乙醇);
c. 如果需要脱水、透明和封片处理,还需自备二甲苯,和封片剂(如BEENbio的C0185 PVP封片液、P0126 抗荧光淬灭封片液或中性树胶等其它封片剂),及80%乙醇、90%乙醇、无水乙醇;
d. 70%乙醇。
2. 样品处理
a. 对于石蜡切片:
二甲苯中脱蜡5-10分钟。
换用新鲜的二甲苯,再脱蜡5-10分钟。
无水乙醇5分钟。
90%乙醇2分钟。
80%乙醇2分钟
70%乙醇2分钟。
蒸馏水2分钟。
b. 对于冰冻切片:
固定液固定10分钟以上。
蒸馏水2分钟。
c. 对于培养细胞:
固定液固定10分钟以上。
蒸馏水洗涤2分钟。
换用新鲜的蒸馏水,再洗涤2分钟。
3. 苏木素伊红(HE)染色
对于上述处理好的样品:
a. 苏木素染色液染色5-10分钟(可以根据染色结果和要求调整时间)。
b. 浸自来水中冲洗去多余的染色液,约10分钟。
c. 蒸馏水再洗涤一遍(数秒钟)。
d. 选做:根据不同分化液的分化时间,分化约2-30秒,自来水冲洗10分钟。
e. 伊红染色液染色30秒-2分钟(可以根据染色结果和要求调整时间)。
此时,如果需要直接观察,可以用70%乙醇洗涤2次。如需脱水、透明后封片按后续步骤进行,70%乙醇洗涤后仍可按照后续步骤进行脱水、透明和封片处理。
4. 脱水、透明、封片或进行其它染色
a. 脱水、透明、封片:
70%乙醇10秒,80%乙醇10秒,90%乙醇10秒,无水乙醇10秒。二甲苯透明5分钟。
换用新鲜的二甲苯,再透明5分钟。
用中性树胶或其它封片剂封片。
显微镜下观察,细胞核呈蓝色,而细胞浆呈粉红色或红色。
b. 进行其它染色:
如果进行免疫荧光染色,或进行Hoechst等荧光染料的染色,在伊红染色液染色后:
70%乙醇洗涤2次,每次2分钟。
PBS或生理盐水或TBS或TBST等用于免疫染色或荧光染料染色的溶液浸泡5分钟。
然后就可以进行免疫荧光染色或其它荧光染料的染色了。如果免疫荧光染色等的效果不佳,可能染料对抗体结合等有影响,请单独染色。